Một người trưởng thành có 206 xương, 32 răng, trong khi em bé mới sinh chứa khoảng 300 thành phần tạo nên hỗn hợp xương và sụn.
Phần sụn cuối cùng khi cứng lên để trở thành xương, được gọi là sự hóa xương. Theo thời gian, số xương "thừa" trong trẻ sẽ hợp nhất tạo ra những chiếc xương lớn hơn, giảm số lượng xương tổng thể xuống còn 206 ở tuổi trưởng thành.
Người trưởng thành có 24 xương sườn (12 cặp). Trong 500 người thì có một người chứa một xương sườn phụ, gọi là xương sườn cổ. Nó phát triển từ phần dưới cổ, ngay phía trên xương đòn. Chiếc xương sườn phụ này có thể gây ra các vấn đề về sức khỏe nếu chèn vào mạch máu hoặc dây thần kinh gần kề.

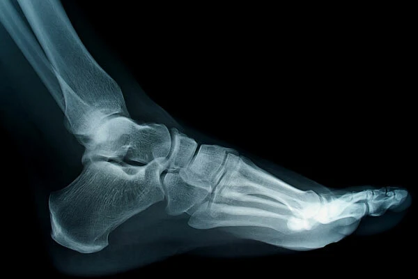
Bàn tay và bàn chân có 106 cái xương, chiếm hơn một nửa số xương trong cơ thể người. Ảnh: Live Science
Hệ thống xương bao gồm tất cả xương, gân, dây chằng và sụn trong cơ thể. Nó đảm nhiệm một số chức năng quan trọng như giúp chúng ta chuyển động cơ thể và sản xuất các tế bào máu mới. Xương không phải là cấu trúc vững chắc nhất trong cơ thể. Ngôi vị này thuộc về lớp men răng do tập trung nồng độ cao khoáng chất, chủ yếu là canxi.
Xương cũng không phân bố đều trên khắp cơ thể, mà tập trung chủ yếu ở bàn tay và bàn chân. Mỗi bàn tay có 27 cái xương và mỗi bàn chân có 26 cái. Tổng cộng hai bàn tay và hai bàn chân có 106 xương, chiếm hơn một nửa số xương trong cơ người. Riêng xương móng không kết nối với bất kỳ xương nào khác. Đây là một chiếc xương có hình dạng móng ngựa trong cổ họng, nằm giữa cằm và sụn giáp. Xương móng kết hợp với thanh quản và lưỡi để tạo ra tiếng nói của con người.
Con người không trực tiếp điều khiển xương. Khi di chuyển tay, chân hoặc bất kỳ bộ phận nào khác của cơ thể, tức là bạn đang ra lệnh cho các cơ gắn vào xương chuyển động.
Xương có cấu tạo từ tế bào sống đang hoạt động. Vì vậy, nó cũng có khả năng mắc u lành tính và thậm chí cả ung thư. Năm 2013, các nhà khoa học tìm thấy một khối u trong xương sườn người Neanderthal có niên đại từ 120.000 đến 130.000 năm. Đây là khối u của con người cổ xưa nhất được phát hiện.
Chân giả, tay giả đầu tiên trên thế giới được phát minh bởi người Ai Cập cổ đại. Khoảng 3.000 năm trước đây, người Ai Cập cổ đại tạo ra các bộ phận chức năng giả, đầu tiên là một ngón chân giả, giúp họ có thể đi lại dễ dàng hơn so với những người không được lắp.
Thùy Anh (theo Live Science)
Nguồn: VNE
